Información General

Qué es la neumonía bilateral, la enfermedad que produce más internaciones y muertes en pacientes con Covid

El 80% de los internados la padece.
Por Telefe Santa Fé

Qué es la neumonía bilateral, la enfermedad que produce más internaciones y muertes en pacientes con Covid | Información General
Información General: Qué es la neumonía bilateral, la enfermedad que produce más internaciones y muertes en pacientes con Covid

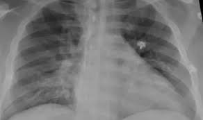
La neumonía bilateral “es una de las mayores complicaciones de los pacientes con Covid, es una enfermedad que afecta los dos pulmones. En casos graves debe internarse ya veces puede ser causa de muerte”, alerta Ana Putruele, jefa de la División de Neumología del Hospital de Clínicas. 

En la actualidad este tipo de neumonía en general se ve en casos de coronavirus y constituye el 80% de las internaciones. También se presenta en menores de 2 años, en mayores de 65 y en portadores de enfermedades crónicas, cardíacas y asociadas a tabaquismo suele generar riesgo de mortalidad llevando a insuficiencia respiratoria severa o distress respiratorio que requiere de oxigenoterapia o si es muy grave asistencia respiratoria mecánica ”, Comenta la profesional. 

“Es normal que luego del Covid algunos pacientes sufren falta de aire o tos durante varios meses luego de la enfermedad. Una internación por esta afección promedia entre 4 y 5 semanas. Son necesarios estudios de función pulmonar y hasta realizar rehabilitación pulmonar para mejorar este tipo de cuadros”, sostiene Putruele.

Las últimas reportadas del Ministerio de Salud cifras del 2018 informan que murieron 31.916 personas por neumonía e influenza, de los cuales 13000 fueron mayores de 85 años, en esa franja etaria representa el 41% de los fallecimientos y constituye la segunda causa de muerte en esa franja etaria.

La neumonía es la sexta causa de muerte en nuestro país y sumado a las complicaciones que causa en enfermos con Covid-19 pueden dejar secuelas crónicas o incluso llevar la muerte al paciente. 

La neumonía es una infección que afecta a los pulmones, de forma aguda, generando síntomas como fiebre, tos, dolor torácico y falta de aire. “Cuando baja la temperatura se duplican o triplican las posibilidades de infecciones pulmonares. Por otro lado, las personas deben estar más tiempo en ambientes cerrados que favorecen la transmisión de enfermedades virales”, comenta Putruele. 

“El pulmón es un órgano que está muy expuesto. Respiramos 10.000 litros de aire por día y es sorprendente que la cifra de infecciones pulmonares sea 1 cada 100 personas por año. Pueden causar microbios llamados bacterias, virus y hongos. En los adultos, las bacterias son la causa más común de neumonía”, afirma la profesional. La forma principal de prevenirla es mediante la vacunación, actualmente disponemos de dos tipos de vacunas, la Pneumo23, Polisacarida y la Prevenar 13.

MIRÁ TAMBIÉN

"Estamos al límite, no hay camas y estamos muy preocupados" en el Hospital Cullen