Santa Fe
Política
Política
Economía
Policiales
Deportes
MÁS INFO
Internacionales
Salud
Legislativas
Espectáculos
Vivo
Santa Fe Directo
"75 años de identidad", la marca de Orlando Vera Cruz
Cárceles autogestionadas, una propuesta que genera debate
Llanto de perro, en la Treinta sesenta y ocho
Cleri busca renovar la banca en la Cámara de Diputados de la Nación
Cambiemos contó los proyectos que buscan llevar al Congreso Nacional
Harán un homenaje a Juan Arancio
Violencia de género: 60 denuncias al día en la provincia
Enrique Estévez cuenta sus propuestas de Consenso Federal
Gran colecta para el día del Niño
Se celebra San Cayetano
San Cayetano, un día para pedir pan, paz y trabajo
Generar: necesitan ayuda para seguir en la lucha contra la violencia de género
Dudas con el escrutinio provisorio digital
Preocupación por la crisis del sector lechero
Taller de arte libre en Alto Verde
Se lanzó Innpacta 2019
Se celebra la semana de la lactancia materna
Consenso Federal presentó sus propuestas
El Hospital Alassia cumple 20 años
La maratón de la UNL ya tiene fecha
Trombonanza celebra su vigésima edición
"Como flor de enredadera", en el Teatro Municipal
Cleri y Obeid, juntos por las bancas del Congreso Nacional
Un santafesino innovó con un diseño de exportación
Almacén Verona: en el corazón de la tradición de la caña con ruda
Presentan el disco "Araca el equivoco"
Hubo un incendio en el Birri
Caso Baldomir: a la espera del veredicto
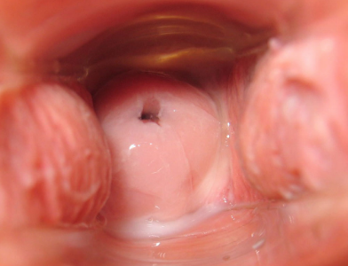
La patología del cuello uterino
Se reglamentó la ley de gratuidad de servicio de electrodependientes
« Anterior
1
…
6
7
8
9
10
11
12
13
14
15
…
49
Siguiente »